CHEST SEEK® Challenge: What is the most likely cause of the patient's acute respiratory failure?
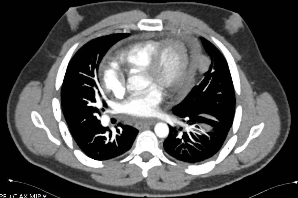
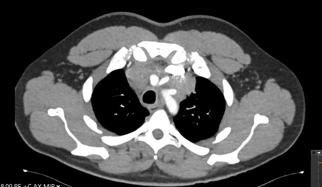
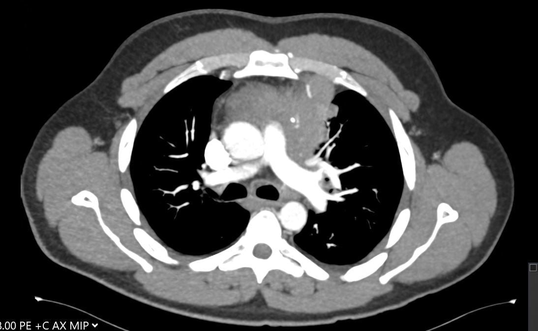
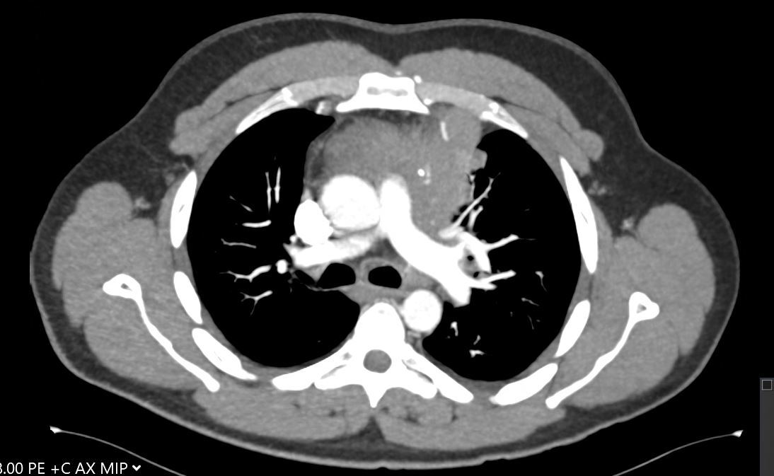
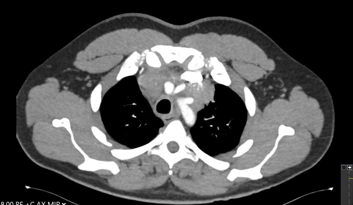
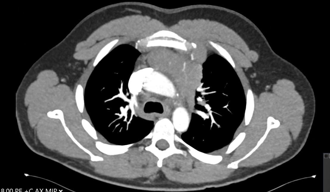
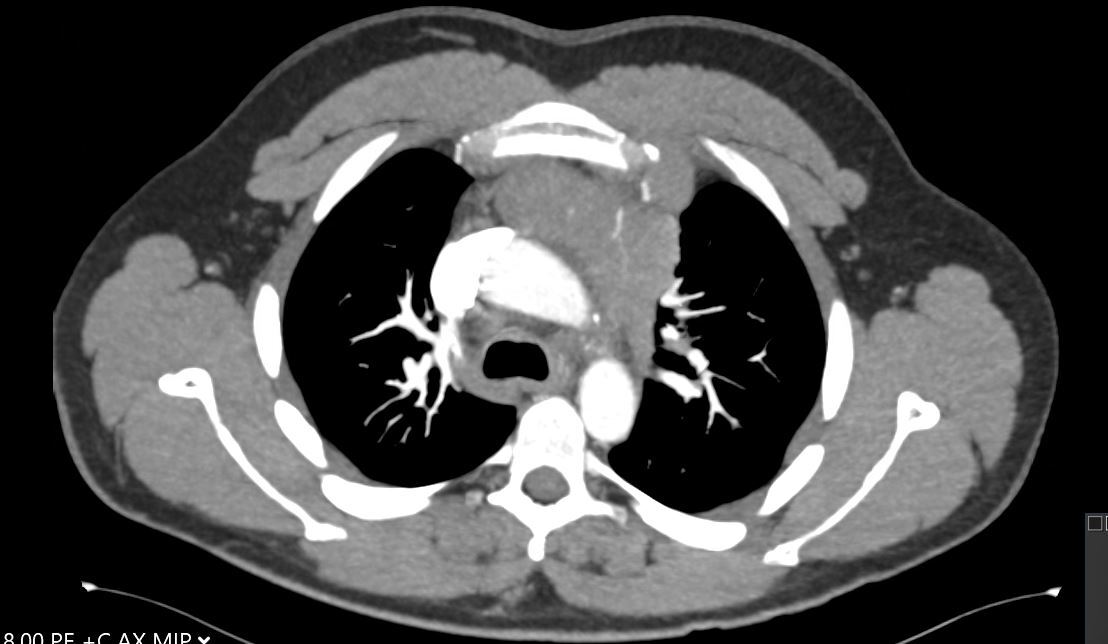
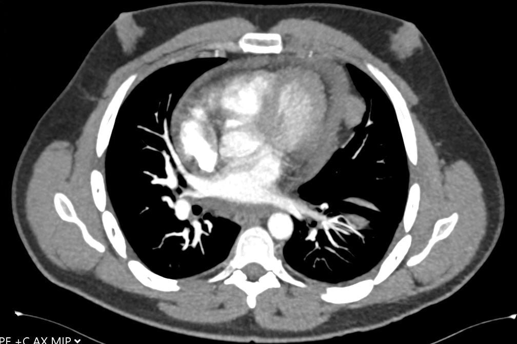
A 30-year-old man presents with dyspnea and is found to have an anterior mediastinal mass, as well as supraclavicular lymphadenopathy; biopsy of the mass is consistent with thymic carcinoma. Imaging shows his anterior mediastinal mass, lung and diaphragmatic lesions consistent with metastatic malignancy, and probable pericardial involvement with small pericardial effusion (Figures 1, 2, 3, and 4).
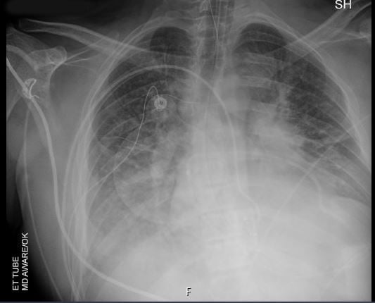
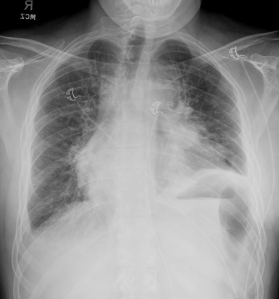
Two months later, he presents to the emergency department with worsening shortness of breath, fatigue, and hoarseness. Bedside echocardiography shows enlarged pericardial effusion, with thickness of 2.65 cm; dilated inferior vena cava without respiratory variation; and partial diastolic collapse of the right atrium and right ventricle. A pericardial drain is placed, and 750 mL of serous fluid is removed from the pericardial space. Approximately 30 minutes after the procedure, the patient becomes increasingly dyspneic and hypoxic, with SpO₂ 83% despite heated high-flow blender oxygen at 100% and 60 L/minute. Venous blood gas analysis shows pH 7.02 and PCO₂ 87 mm Hg. Emergent endotracheal intubation is performed, with exuberant pink frothy secretions seen emanating from the trachea during laryngoscopy. Chest radiographs from before his pericardiocentesis and after his intubation are shown in Figures 5 and 6.
What is the most likely cause of the patient’s acute respiratory failure?
-
Fig. 1: CT image showing large mediastinal mass found to be thymic carcinoma. -
Fig. 2: CT image showing large mediastinal mass found to be thymic carcinoma. -
Fig. 3: CT image showing large mediastinal mass found to be thymic carcinoma. -
Fig. 4: CT image showing small pericardial effusion. -
Fig. 5: Chest radiograph prior to pericardiocentesis. -
Fig. 6: Chest radiograph following pericardiocentesis and endotracheal intubation.
This question is found in the newest print edition, CHEST SEEK Pulmonary Medicine: 35th Edition, and in the CHEST SEEK Library.
The SEEK Challenge question is updated monthly. Check back in February for next month's question.
